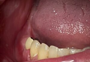
右下67アルティメットデンチャーセット

右下67アルティメットデンチャーセット
アルティメットデンチャーは印象さえ正確であれば 模型通りに出来上がり 模型にはめて納品されます
多くの症例が わずかな調整でセットが可能です
Kdentalは福岡を拠点とし全国展開する歯科技工所です。ノンクラスプデンチャーに特化したプロフェッショナルなラボです
最新歯科技工情報
Non Clasp Denture

右下67アルティメットデンチャーセット
アルティメットデンチャーは印象さえ正確であれば 模型通りに出来上がり 模型にはめて納品されます
多くの症例が わずかな調整でセットが可能です