1. HOME
  2. 最新歯科技工情報
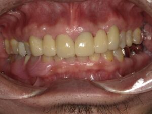
  3. ノンクラスプデンチャー
  4. 右下67アルティメットデンチャー、ほぼ無調整

最新歯科技工情報

ノンクラスプデンチャー

Non Clasp Denture

最新歯科技工情報(関連情報)