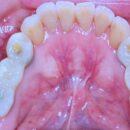
2025.11.22 下顎両側456のインプラントハイブリッド…… 下顎両側456のインプラントハイブリッドの上部構造 クリアランスが無くバイト調整に苦心しました。対合歯は弊社製作のジルコニアフルマウスです。……
2025.02.07 ジルコニア5〜3 8本症例…… [caption id="attachment_5341" align="alignnone" width="300"] 術前[/caption] [caption id="attachment……
2025.02.18 ジルコニア 前歯3〜l〜3 6本セット…… [caption id="attachment_5337" align="alignnone" width="300"] 前歯6本ジルコニア術後[/caption] [caption i……
2024.10.18 IOSでのジルコニア作製についての考察…… iOSでのジルコニア作製についての考察 シェードの指標について、写真でいただくことも実際多いです。 実物との色の見え方が違うので、指標となるシェードガイドとどれくらい差があるのかを肌感覚でやること……
2024.06.22 ジルコニアメリーランドブリッジ サクラデ…… ジルコニアメリーランドブリッジ サクラディスクのマルチレイヤーで製作 浸透+表面ステインで仕上げ 歯質をほとんど削ることなく 補綴ができます ……
2024.04.12 シェードテイキングに2th sms を導…… シェードテイキングに2th sms を導入 中心のグレーカードを基準に明度を矯正が出来ますので、どのカメラであっても明度を均一化できます。 シェードガイドや作っている補綴を合成させ……
2024.04.12 ジルコニアとプロビジョナルの有効性につい…… ジルコニアとプロビジョナルの有効性についての考察 ジルコニアは口腔内で高かったりすると、削るのに大変な手間がかかり 手研磨による艶出しが必要です 弊社ではジルコニアのプロビジョナルを先に作り咬合調……