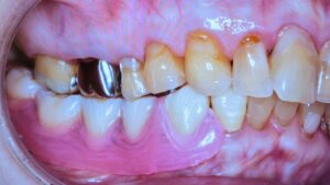
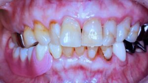
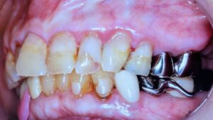
ノンクラスプデンチャー 右下4567のAIバータイプ 2025.11.22 右下4567のAIバータイプ 右下3番はジルコニアです Tweet シェア 右下67アルティメットデンチャーセット ノンクラスプデンチャーセット