
ノンクラスプデンチャーセット……
Kdentalは福岡を拠点とし全国展開する歯科技工所です。ノンクラスプデンチャーに特化したプロフェッショナルなラボです
最新歯科技工情報
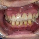
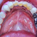
Non Clasp Denture
歯にかかるアームの部分には各種の熱可塑樹脂だけで覆うためノンクラスプデンチャーには強度が要求されます。確かな技術と様々な樹脂素材で技工するノンクラスプデンチャーの最新の技工情報をお知らせします。
(※参考)日本補綴学会はノンクラスプデンチャーの事をノンメタルクラスプデンチャーと呼ぶようにしています。









