Kdentalは福岡を拠点とし全国展開する歯科技工所です。ノンクラスプデンチャーに特化したプロフェッショナルなラボです
ノンクラスプデンチャー症例集
歯科技工情報
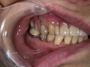
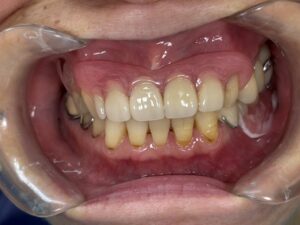
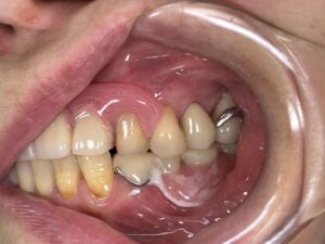
ノンクラスプデンチャー
ノンクラスプデンチャー修理
クリアデンチャー
CIデンチャー
ペリオデンチャー
ジルコニア人工歯
タムクラウン|タムインレー
ペリオクラウン
PEEK
CADCAM冠
e-max
最新歯科技工情報
Non Clasp Denture
ノンクラスプデンチャーセット